小児矯正で、当院で使用している装置は、プレオルソといいます。プレオルソは、以下のように症例によって次の3種類のタイプがあります。

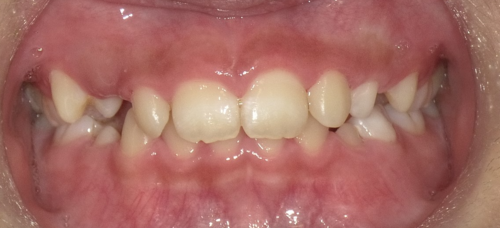
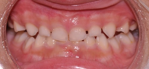
タイプⅠは、いちばんよどのような目的の時に使うかというと、予防・歯列拡大、前突改善、過蓋咬合改善です。歯並びが凸凹しているか、これから乳歯から永久歯に代わったときに凸凹しそうな時に歯列を拡大して、凸凹を予防したり、既に永久歯に代わっているけど凸凹しているときに使用します。凸凹するのは、歯が並ぶスペースが足りないか、歯が大きくて並ばないかですが、成長期にある時期には、歯列を拡大してスペースを作ることを優先します。歯列の拡大といってもいつでも拡大するかというとそんなことはありません。適切な時期を逃してしますと効果が出ないこともあります。乳歯犬歯間の歯列幅が一番大きくなる時は、上顎では真ん中の前歯の萌出1年前から生えるまで、下顎では真ん中の前歯が生えてからその隣の歯が生えるまでといわれています。年齢的には7歳から9歳の間になります。この年齢の前に使うことで、自然な成長を促すことが期待できます。また、下顎は機械的な拡大を期待できるので、積極的に使っていきたいものです。前突改善は、上顎が大きくなるのではなく歯の軸が舌側に傾くことによって改善していきます。過蓋咬合というのは、上の前歯で下の前歯が見えなくなった状態で、上顎の前歯で下顎の自然成長を妨げるようになります。これもプレオルソの得意とするところで、写真のようにきれいになってきます。

↓

↓

タイプⅡは、小児開口治療に使います。当院では、小児の開口症例の前例がありませんが、開口は癖と関係があるようです。前歯が開いて咬めない状態だと、水を呑み込めないので、舌でその空間を埋めようとして、さらに前歯を前に押し出そうとします。治療としては、プレオルソを使い開口を閉じてやると同時に口の中で舌のあるべき位置を体得してもらいます。
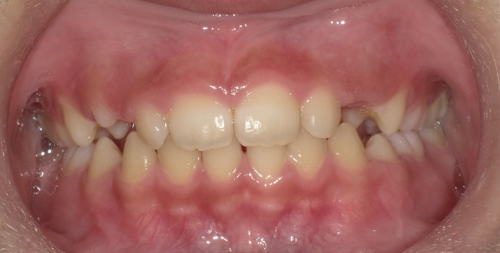
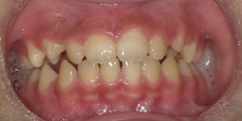
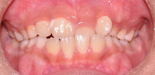
タイプⅢは受け口や交叉咬合に使います。大人の場合は顎の成長が止まっているので、反対咬合・受け口の場合は歯の軸を変えて治す場合と遺伝的に下顎そのものが大きい場合は外科手術で下顎の骨を切って治す場合があります。小児の場合は、まだ下顎の成長が始まっていないので、できるだけ上顎を積極的に成長させなければなりません。受け口・反対咬合だと、下の前歯が上の前歯の前にあるので、上の顎が前方に成長するのを妨げてしまうので、受け口だったら出来るだけ早くに改善する必要があります。下の写真のように短期で改善することが出来ます。

↓

↓

最初から8カ月で受け口は改善していますし、さらに歯と歯の間に隙間が生じているので歯列が拡大しているのが分かります。
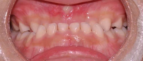
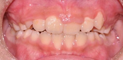
前歯が全体的に受け口になっている症例はもちろんですが、下の写真のように1本だけ反対になっている症例にも効果があります。

↓

4カ月で左前歯の反対咬合が改善されています。さらに歯列の拡大も見られます。
プレオルソタイプⅢは、下顎前歯を舌側に傾斜させる効果、舌の位置を上方に位置させる効果、口唇閉鎖と鼻呼吸のトレーニング効果と上顎骨の前方発育促進効果があるので、受け口・反対咬合のお子さんには積極的に使っていきたい装置です。
仕上げ磨きをしているときなどに、お子さんの口の中、咬み合わせを見て、あれっと思われたらご相談ください。