虫歯治療の修復には、今はほどんどが歯の色に近いものを使います。昔は、アマルガムといって水銀が入った合金をよく使っていましたが、今は使われなくなりました。水銀が入っているので恐ろしいもののように言われますが、合金になっていますので、ほとんど水銀単体のような為害作用はないと言われていますが、世界的に見ても使っている国はないようです。金銀パラジウム合金(金パラ)もよく使われていますが、名前を聞くと金が最初についているので、金が多く入っている金合金のように思われますが、実際のところ金は、12%しか入っておらず、パラジウムと銅が20%くらいずつ、あとはかさを増すために銀が50%くらい入っています。一時期世界的な金属の価格変動により、パラジウムが異常に高騰したため、金パラの価格も高騰し、保険治療で使うとそれだけで赤字になってしまうようになりました。金属を口の中に入れるということは、一日中金属のスプーンを舐めているようなもので、金属のアレルギーも考えられますし、金属のイオン化、酸化いわゆる錆、食べ物の温度差による延び縮みによる2次カリエス、セメントの流出もあり、あまり修復物には適した材料ではありません。(図1)ドイツやスウェーデンではパラジウムを歯科治療に用いることを禁止しています。

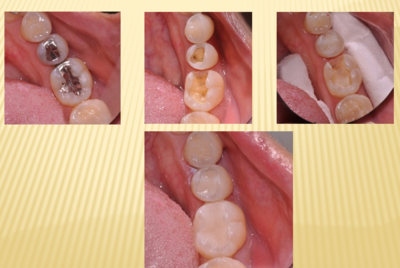
それで、現在主に保険治療で使われているのが、コンポジットレジンという合成樹脂とコンポジットレジンにセラミックが混じったハイブリッドセラミックと言われるものです。保険治療の詰め物で主に使われているのは、コンポジットレジンです。相当昔から前歯の治療には使われていましたが色調に問題があったり、歯の神経(歯髄)に為害作用がありましたが、改良に改良を重ねられて、現在では生体親和性もあり、見た目にも強度の面でも良くなってきて、奥歯の詰め物にも使われるようになってきました。しかしこのコンポジットレジンには大きな欠点があります。重合収縮と言われるものです。コンポジットレジンは柔らかい状態で虫歯を取ってきれいにした状態のところに接着剤を塗布して詰めてゆき、そこにある波長の光を当てて固まらせます。固まる時に重合収縮という現象が起きます。重合収縮は接着剤が弱いと詰めたコンポジットレジンと歯牙との間にわずかな隙間(ギャップ)を作ったり、接着剤が相当に強いと歯の方にわずかなひび(クラック)が入ったりします。(図2、図3)大きい詰め物や隣接面(歯と歯が連なっている面)にかかる詰め物の場合は、詰め物と歯牙の面積と体積が大きくなるので重合収縮が大きくなり、2次カリエスの原因になります。そこで、大きい詰め物や隣接面を含む詰め物は、セラミックを使うのです。セラミックそのものは歯とは接着しないので、コンポジットレジン系の接着剤を使うのですが、数十ミクロン(1㎜は1000ミクロン)なので、重合収縮は無視できるのです。(図4)セラミックを使うことによって2次カリエスの原因であるギャップやクラックを防ぐことが出来ます。これまでの長石系のセラミックでは破折することが見られたのですが、2ケイ酸リチウム系のセラミックやジルコニアセラミックを使用することでそのようなトラブルがなりました。
みと歯科・矯正歯科では、以前はCERECというシステムを使って、3Dカメラでデータを取りセラミック修復物を作っていましたが、現在ではインビザライン治療で使う口腔内スキャナーiTero element 5Dを使って、CAD/CAMでセラミック修復物を作成しています。iTeroでスキャンしたデータを技工所に送り、そこで修復物を設計し、削りだして作成してもらっています。
小さな修復物でも、理想的にはセラミックを使うのがいいのですが、小さいものは取扱いに大変困ってしまいます。小さいと出来上がったものを調整研磨しているときに、どこに行ったか分からなくなってしまうこともあります。みと歯科・矯正歯科では、小さい修復物はコンポジットレジンで、大きな修復物や隣接面を含む修復物はセラミックを使った修復物をすすめています。大きな修復物の形態、特に隣接面の形態、隣接面のくっつき具合をコンポジットレジンで適切に作るのは大変難しく、セラミックをコンピュータで設計し削りだす方が正確です。重合収縮は、コンポジットレジンにはどうして避けられない物理的な性質ですから、それに賢く対処していくことが、2次カリエスを防ぎ、一度治療した歯を長くもたせる秘訣だと思います。(図5)

コンポジットレジンによる修復は、保険治療でできますが(保険治療ではないコンポジットレジン修復もあります)、セラミックによる修復は健康保険ではできず、すべて自費の診療になります。使うセラミックの種類・大きさにもよりますが、みと歯科・矯正歯科では、40,000~95,000円の費用がかかります。費用は保険治療に比べて高額ですが、ご自身の体の一部である歯を守るため、ご自身の健康を守るために考えてみてはいかがでしょうか。


